你知道吗?最近娱乐圈可是炸开了锅,因为有一位超级巨星的视频曝光了!没错,就是那位才华横溢、音乐风格独特的伍佰!让我们一起揭开这神...
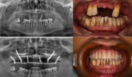
最近佛山那边的种牙事件可是闹得沸沸扬扬的,咱们得好好来聊聊这个话题。你有没有想过,一颗牙齿的种植竟然能引发这么大的波澜?那就让我...
你知道吗?娱乐圈里那些光鲜亮丽的明星们,背后可是有着不少营销手段呢!今天,就让我来给你揭秘那些金星级别的爆料,让你看看娱乐圈的营...
最近网络上可是热闹非凡呢!这不,又有一件网红事件被爆出来了,让人忍不住想要一探究竟。今天,就让我带你来揭秘这场风波背后的真相吧!...
你有没有听说最近超级火的QQ爆料群?没错,就是那种能让你第一时间掌握各种独家消息的神秘组织!今天,我就要来给你揭秘这个最新能进的...
你听说了吗?最近关于2k25的最新爆料可是炸开了锅!作为游戏迷的你,是不是也迫不及待想要一探究竟呢?那就跟着我一起,从多个角度来...
最近天气真是让人捉摸不透,这不,中国台风的最新爆料又来了!你有没有被那些狂风暴雨吓了一跳?今天,就让我带你一起揭开台风的神秘面纱...
最近惠南中学可是闹得沸沸扬扬的,一起神秘的案件让整个校园都笼罩在了一层神秘的面纱之下。这不,我可是打听到了一些最新情况,赶紧来和...
王者归来,荣耀再续!——王者返场最新爆料大揭秘亲爱的玩家们,是不是已经迫不及待想要知道王者峡谷的最新动态了呢?今天,就让我带你一...
最近襄阳万达可是闹得沸沸扬扬的,一场爆料事件视频在网上引发了热议。你有没有看过呢?今天,就让我带你一起来揭秘这场风波背后的真相吧...